
Revolutionizing Dental Treatment Planning in Springfield
At Hoffman|Stone, we've invested in the most advanced dental imaging technology available today. By combining three sophisticated scanning systems, we create a complete 5D patient avatar that allows us to plan, visualize, and execute treatments with unprecedented precision. This technology transforms how we diagnose conditions, design treatments, and communicate with our patients—ensuring predictable, optimal outcomes for dental implants, full-mouth rehabilitation, and complex restorative procedures.

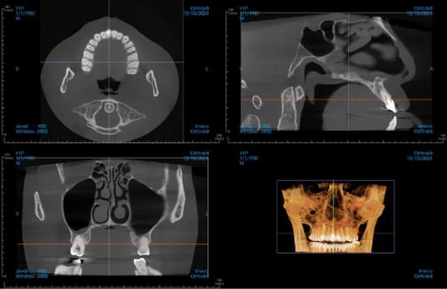
Our Ray Quantum CBCT system captures high-resolution 3D images of your jaw, teeth, bone structure, sinuses, and nerve pathways with exceptional clarity. Unlike traditional 2D X-rays that provide only a flat view, CBCT imaging reveals your complete dentofacial anatomy in three dimensions.
Patient Benefits:
Clinical Advantages:
This technology enables Dr. Hoffman to diagnose with confidence and plan treatments that account for your unique anatomy, reducing surprises and improving long-term success rates.

The RayFace extraoral scanner captures your complete facial structure, expressions, and smile dynamics in stunning detail. This non-invasive scanning system records how your face moves naturally when you smile, speak, and rest—critical information for designing restorations that look natural and harmonize with your facial features.
Patient Benefits:
Clinical Advantages:
By understanding how your teeth relate to your lips, gums, and overall facial structure, we create restorations that don't just function perfectly—they enhance your natural beauty.

Our iTero Lumina intraoral scanner creates ultra-precise digital impressions of your teeth and gums without messy impression materials. This advanced scanning wand captures thousands of images per second, building a complete 3D model of your dental anatomy that's accurate to within 20 microns.
Patient Benefits:
Clinical Advantages:
This technology is essential for Invisalign treatment planning, implant crown design, and any restoration requiring precise fit and optimal function.

The true breakthrough comes when we integrate all three scans—CBCT, facial imaging, and intraoral scanning—into a single, comprehensive 5D patient avatar. This revolutionary technology overlays your bone structure, soft tissue, facial proportions, and tooth positions into one unified model, giving us an unprecedented view of your complete oral and facial anatomy.
Patient Benefits:
Clinical Advantages:
What This Means for Complex Cases:
For dental implants, Dr. Hoffman can plan the exact position, angle, and depth of each implant while accounting for bone quality, nerve locations, and final tooth appearance. For full-mouth reconstruction, we can design your new smile to restore proper bite function while creating aesthetically pleasing results that complement your facial features. For All-on-X procedures, this technology enables us to plan the entire treatment—from extractions through final prosthetics—before your first surgical appointment.

Dr. Brian Hoffman brings over 18 years of award-winning dental expertise to Springfield, MO. He excels in treating complex cases that other dentists often turn away, combining medicine and art to create beautiful, functional smiles. Dr. Hoffman is a Diplomate of the International Congress of Oral Implantologists and holds advanced certifications in Invisalign and CEREC technology. His patient-centered approach ensures every visit is comfortable, with no rushing and a complete understanding before any treatment begins. When he's not transforming smiles, Dr. Hoffman enjoys hiking, lake life, and exploring Missouri with his family.
Dr. Brian P. Hoffman has been selected as a topDentist for 2026, a prestigious honor awarded exclusively through peer review by fellow dental professionals. This distinction recognizes exceptional skill and dedication to patient care, as dentists are nominated and voted in by their colleagues who understand the highest standards of dental excellence. Unlike paid listings, the topDentists selection cannot be purchased, making it one of the most credible recognitions in the dental profession.

Our Springfield patients love our personal attention, advanced technology, and comfortable environment. They appreciate Dr. Hoffman's expertise with difficult cases and our team's commitment to understanding each patient's unique needs.
I've had nothing but positive experiences at Comprehensive Dental. Dr. Hoffman is fantastic – very gentle, professional, and knowledgeable. The office is clean, modern, and the entire team works efficiently. It's clear they prioritize patient comfort and excellent results.
Patrick
Comprehensive Dental, with Dr. Hoffman at the helm, provides truly exceptional care. The staff are all incredibly friendly and make you feel at ease from the moment you walk in. Dr. Hoffman is not only highly skilled but also takes the time to explain everything thoroughly. Highly recommend!"
Amy